Applicazione del mese: ricostruzione dentale stampata in 3D con SprintRay

Il campo dell’odontoiatria restaurativa sta vivendo una trasformazione grazie ai flussi di lavoro digitali avanzati e alla produzione additiva. In questo articolo presentiamo un caso di riabilitazione completa della bocca, curato dal dottor Guvinder Gakhal, in cui è stata utilizzata una resina per corone stampata in 3D con tecnologia SprintRay per il restauro di un paziente con grave usura dentale generalizzata. Sfruttando i flussi di lavoro strutturati appresi attraverso il programma educativo di Avant Garde, il caso dimostra come la precisione, l’efficienza e l’uso di tecniche minimamente invasive possano offrire risultati clinici ed estetici eccezionali.
La stampa 3D aiuta a ricostruire l’usura dentale
Un elettricista maschio di 56 anni presentava una marcata usura dentale dovuta da bruxismo notturno cronico, ovvero l’abitudine di digrignare o serrare i denti durante il sonno. Sebbene il paziente non avvertisse alcun dolore, la continua perdita di altezza del dente lo poneva ad alto rischio di esposizione della polpa, il che significava che il nervo interno e i vasi sanguigni del dente potevano essere esposti. Un intervento precoce era fondamentale per preservare i denti naturali, evitare problematiche restaurative più complesse in futuro e mantenere una corretta funzionalità orali.

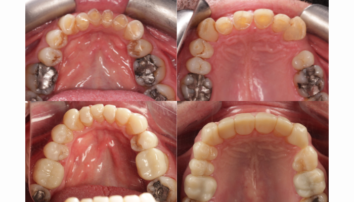
Dalla foto in alta a sinistra a quella in basso a destra, la stampa 3Dè stata in grado di mitigare la grave usura dentale del paziente.
Il Dr. Gakhal ha adottato un approccio incentrato sul paziente, discutendo gli obiettivi del trattamento. Il processo includeva la protezione della struttura dentale rimanente, il ripristino della dimensione verticale occlusale (la distanza naturale tra le mascelle superiori e inferiori quando la bocca è chiusa) e il miglioramento dell’estetica dentale mantenendo il trattamento il meno invasivo possibile. Il caso del paziente presentava diverse sfide. Tra queste, corone cliniche fortemente accorciate (le parti visibili dei denti sopra la gengiva) con rischio di quasi esposizione della polpa. C’era anche una compensazione alveolare, uno spostamento dell’osso mascellare che si verifica con l’usura dei denti e può influenzare l’occlusione. Altri problemi includevano zenit gengivali asimmetrici, cioè un’altezza delle gengive irregolare che incide sulla linea del sorriso, e canini posizionati verso l’esterno, rivolti verso le guance. Ognuno di queste problematiche richiedeva un’attenta pianificazione per ottenere un risultato naturale e funzionale.
Flusso di lavoro completamente digitale con la stampa 3D
La riabilitazione è stata eseguita seguendo un flusso di lavoro completamente digitale. Il processo è iniziato con un modello diagnostico dei denti, una simulazione digitale o in cera che mostra forma, posizione e dimensione dei denti pianificate, permettendo di visualizzare il risultato finale prima dell’intervento. Questo è stato convertito in un sorriso di prova utilizzando la resina bisacrilica, un materiale temporaneo che consente ai pazienti di visualizzare in anteprima il design proposto. Il sorriso di prova ha permesso al paziente di approvare l’occlusione, l’estetica e la fonetica prima di procedere con il trattamento definitivo. Una volta approvato il progetto, i file STL finali sono stati inviati alla stampante SprintRay Pro 2 per la fabbricazione delle corone permanenti. Il post-processing includeva la pulizia a mano con alcol isopropilico al 99%, il rivestimento, l’indurimento finale, la lucidatura e il montaggio preciso. Il processo di cementazione ha previsto una accurata preparazione delle superfici, l’applicazione del primer e la polimerizzazione finale sotto glicerina, al fine di garantire un adattamento ottimale e una durabilità a lungo termine.
Vantaggi dei restauri stampati in 3D
Tradizionalmente si preferisce la resina composita per i casi che comportano l’usura dentale, perché può essere facilmente riparata e richiede una preparazione minima dei denti. Tuttavia, in questo le corone stampate in 3D hanno fornito diversi vantaggi chiave per raggiungere un risultato ottimale. La tecnologia ha permesso una precisione eccezionale, un adattamento marginale preciso (l’adesione perfetta tra il bordo del dente e la corona) e una migliore resistenza strutturale. Il flusso di lavoro digitale ha assicurato che ogni corona corrispondesse al progetto di prova stabilito, fornendo risultati funzionali ed estetici prevedibili preservando il più possibile la struttura naturale del dente.

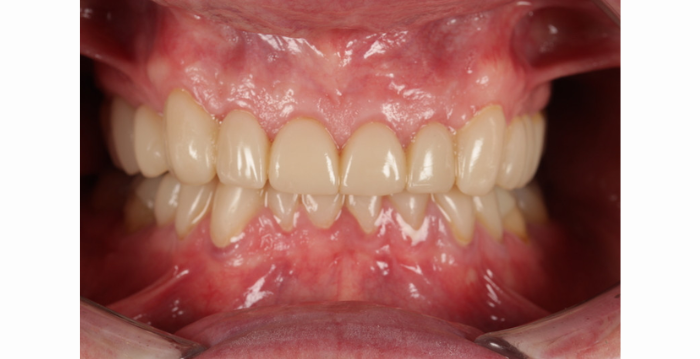
Il prodotto finale mostra il potere della stampa 3D nel settore dentale.
Il paziente è stato immediatamente soddisfatto del miglioramento dell’aspetto e del comfort. I controlli a due settimane, un mese, due mesi e tre mesi hanno confermato che il paziente si era adattato correttamente alla nuova dimensione verticale occlusale e alle riparazioni eseguite. Conservando lo smalto e riducendo al minimo la riduzione dei denti, questo approccio ha ridotto il rischio di pulpite (infiammazione o irritazione del nervo dentale) ottimizzando il comfort del paziente e la salute orale a lungo termine.
Il Dr. Gakhal ha riflettuto sui vantaggi dell’integrazione dei flussi di lavoro digitali e della stampa 3D SprintRay in casi di usura complessi. Ha osservato che questo approccio ha migliorato la collaborazione tra i team clinici e di laboratorio, ha preservato la struttura naturale dei denti e ha fornito risultati prevedibili, duraturi ed esteticamente piacevoli. Il caso ha anche fornito preziose informazioni sulle prestazioni a lungo termine dei restauri stampati in 3D in riabilitazioni complesse. Con l’introduzione delle resine a base ceramica, cioè resine rinforzate con particelle ceramiche per una maggiore resistenza, si prevede che le applicazioni future offriranno una durabilità ancora maggiore, mantenendo al contempo precisione, possibilità di riparazione e i vantaggi dei trattamenti minimamente invasivi. Sebbene siano necessari ulteriori studi per valutare i risultati a lungo termine, questo caso evidenzia il forte potenziale clinico dei restauri definitivi stampati in 3D.
Cosa ne pensi della stampa 3D usata nel settore dentale? Lasciaci un commento qui sotto o sui nostri canali Facebook o LinkedIn. Se l’argomento ti interessa, non perderti la nostra pagina esclusiva dedicata alla stampa 3D medica e dentale QUI. Puoi anche trovare tutti i nostri video sul nostro canale YouTube. Per rimanere sempre aggiornato sulle ultime novità del mondo della stampa 3D, iscriviti alla nostra Newsletter settimanale!
*Crediti foto di copertina: VistaDent / *Crediti per tutte le foto (escluso il grafico): Guvinder Gakhal






